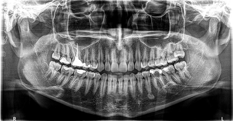
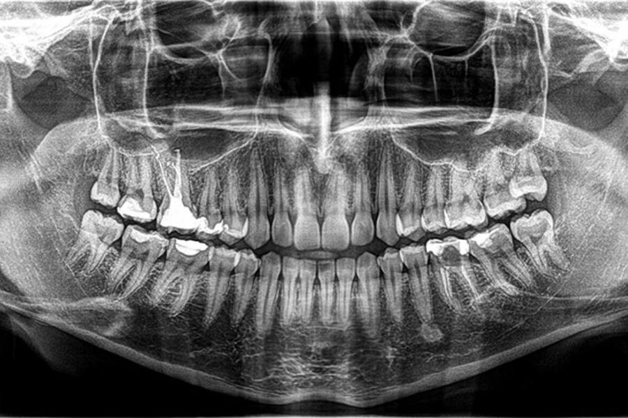
Zahvaljujući naprednoj CBCT (kompjuterska tomografija s konusnim zrakama) tehnologiji u samo 30 sekundi napravit ćemo trodimenzionalni snimak vaših zubnih struktura.
Naš ortopan prikladan je za sve generacije pa tako i za djecu
Prednosti CBCT snimka:
Snimak dobijete na CD-u i šaljemo na e-mail.


Vrhunska stomatologija u opuštajućoj atmosferi i ugodnom ambijentu. Naš cilj su zadovoljni pacijenti.
Naruči se